Physical Address
304 North Cardinal St.
Dorchester Center, MA 02124
Physical Address
304 North Cardinal St.
Dorchester Center, MA 02124

To część poradnika: Problemy zdrowotne psa po lambliozie
Jeśli pies „wyleczył” lambliozę, a mimo to nadal ma biegunkę, śluz w kale, wzdęcia, burczenie w brzuchu, brak apetytu albo nawracające „sensacje” po jedzeniu, to najczęściej nie jest to kwestia „złej karmy”. W wielu przypadkach problemem jest to, co lamblioza i leczenie zrobiły z jelitami: uszkodzenie nabłonka, spadek aktywności enzymów trawiennych, rozregulowanie mikrobioty i utrwalenie nadreaktywnej motoryki jelit. Efekt może trwać tygodnie lub miesiące i wymaga podejścia technicznego: najpierw stabilizacja, potem celowana diagnostyka, dopiero na końcu agresywne „odbudowywanie” mikrobioty.
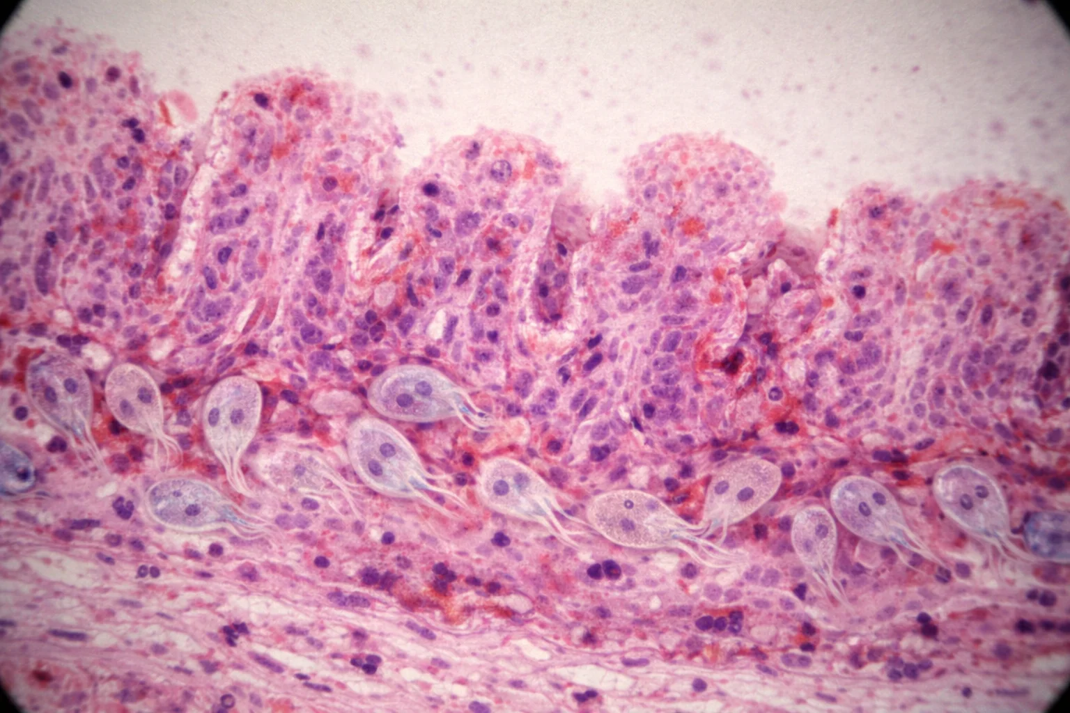
Lamblioza (Giardia) jest infekcją jelitową, która u części psów zostawia po sobie trwały ślad funkcjonalny. Pasożyt może zaburzać pracę jelita cienkiego: pogarszać wchłanianie, uszkadzać powierzchnię nabłonka i zwiększać przepuszczalność bariery jelitowej. Nawet jeśli organizm pozbył się Giardia, jelito nie zawsze wraca od razu do „trybu normalnego”.
Do tego dochodzi drugi czynnik: leczenie. Leki przeciwpierwotniacze i/lub antybiotyki (jeśli były użyte) potrafią znacząco zmienić skład mikrobioty. Jeżeli po leczeniu powstaje dysbioza (spadek różnorodności + przewaga bakterii fermentujących), jelito może reagować biegunką lub śluzem na bodźce, które wcześniej były neutralne.
Wniosek praktyczny: „Po lambliozie” objawy często wynikają z uszkodzeń i rozregulowania układu trawiennego, a nie z aktywnej obecności pasożyta. Żeby to odróżnić, potrzebujesz uporządkowanej diagnostyki i obserwacji wzorców objawów.

Poniżej najczęstsze „silniki” problemu po lambliozie. U jednego psa dominuje jeden mechanizm, u innego działają równolegle 2–3. To ważne, bo każdy mechanizm wymaga innej kolejności działań.
Jeśli nabłonek jelitowy jest podrażniony, a warstwa śluzu „cienka”, jelito gorzej toleruje kwasy, żółć i normalne procesy trawienne. To może dawać:
(Jeśli pies ma także wymioty lub ewidentny ból brzucha, nie zakładaj automatycznie „samego jelita” – to może wymagać diagnostyki żołądka/trzustki. Tu nie zgaduję – to typowy błąd właścicieli.)
Dysbioza oznacza, że mikrobiota jelitowa przestaje działać jak stabilny ekosystem. Skutki praktyczne:
Pułapka: jeśli w tym stanie zaczniesz intensywnie rotować probiotyki i karmy, możesz utrwalić „chaos jelitowy”. Najpierw stabilizacja i prosta dieta, potem celowane dodatki.
Przerost bakterii w jelicie cienkim oznacza, że bakterie „wchodzą” tam, gdzie normalnie powinno ich być mniej. To zaburza trawienie i wchłanianie. Typowe sygnały:
(Uwaga: rozpoznanie SIBO/ARD wymaga podejścia weterynaryjnego – nie da się tego „pewnie” potwierdzić w domu. Jeśli ktoś obiecuje, że rozpozna to po objawach bez badań – to zgadywanie.)
Po infekcji i bólu jelita mogą reagować przesadnie na bodźce. To mechanizm neurogastroenterologiczny: próg reakcji na rozciąganie, gazy, stres i bodźce „okołojedzeniowe” spada. Objawy:
To nie jest „pies wymyśla”. To realna odpowiedź układu nerwowego jelit. Drugi wpis w serii będzie tylko o tym mechanizmie.
Po lambliozie często pojawia się błędne koło decyzji. Poniżej najczęstsze scenariusze, które w praktyce opóźniają poprawę.
To możliwe, ale nie jest automatem. Giardia może nawracać, ale równie często „wraca” dysbioza lub nadwrażliwość jelit. Dlatego nawrót powinien być weryfikowany diagnostycznie (testy kału zgodnie z zaleceniem weterynarza), zamiast profilaktycznego powtarzania leków „na ślepo”.
Adnotacja (żeby nie zgadywać): nie podaję tu protokołu testów ani leków, bo zależy od metody badania, historii leczenia i zaleceń lekarza prowadzącego. Wpis ma być narzędziem decyzyjnym, nie receptą.
Jeśli jelito jest rozchwiane, każda zmiana składu może robić dodatkowy „szum”: inne włókno, inny tłuszcz, inna fermentacja, inne białko. Wtedy powstaje wrażenie „pies ma nietolerancję na wszystko”. Często to nie jest prawdziwa alergia, tylko niestabilne jelito po infekcji.
U psów z przewlekłymi biegunkami częste są zaburzenia wchłaniania w jelicie cienkim oraz wtórne problemy z trzustką. Dwa elementy, które warto traktować jako „must check” (z lekarzem):
(Nie podaję konkretnych progów laboratoryjnych ani schematów leczenia – zależą od laboratorium i decyzji lekarza. Bez wyników to byłoby zgadywanie.)
Poniżej minimalna lista rzeczy, które realnie przesuwają diagnostykę do przodu u psa z przewlekłymi objawami po lambliozie. To nie jest „pełna medycyna”, tylko praktyczne minimum, które najczęściej ma sens.
| Co sprawdzić | Po co | Co to zmienia w decyzjach |
|---|---|---|
| Powtórna weryfikacja Giardia (wg zaleceń lekarza) | Oddzielenie nawrotu zakażenia od powikłań | Jeśli brak Giardia, nie ma sensu „strzelać” lekami przeciwpierwotniaczymi |
| B12 (kobalamina) + folian | Ocena wchłaniania w jelicie cienkim | Niski B12 często wymaga suplementacji/zastrzyków i poprawia apetyt oraz stolec |
| USG jamy brzusznej | Ocena jelit, wątroby, trzustki | Pogrubienie ściany jelit / cechy zapalne → inna ścieżka (enteropatia/IBD) |
| Ocena trzustki (wg lekarza) | Wykluczenie przewlekłego zapalenia trzustki / problemów trawienia | Nietolerancja tłuszczu i biegunki po posiłkach mogą mieć źródło poza jelitem |

Priorytet praktyczny: jeśli objawy trwają tygodniami/miesiącami, a pies słabo je lub chudnie, B12 i USG zwykle dają więcej informacji niż kolejne „zmiany karmy”. (To zasada decyzyjna, nie obietnica wyniku.)
Domowe działania mają sens tylko wtedy, gdy są proste i mierzalne. Cel na 10–14 dni: zmniejszyć zmienność stolca i uspokoić jelito, bez dokręcania kolejnych bodźców.
Ważne: jeśli pies ma ostrą biegunkę wodnistą, wymioty, apatię lub krew w kale, nie „stabilizuj w domu” – to są czerwone flagi do pilnej konsultacji. To jedyny bezpieczny komunikat bez znajomości stanu klinicznego.
Jeżeli u psa występuje nietypowy objaw typu „biegunka na sam zapach jedzenia”, przejdź do wpisu o osi jelito–mózg. Jeżeli chcesz działać w domu bez robienia błędów (rotowanie karm, probiotyki w złym momencie), przejdź do wpisu o odbudowie jelit „co działa, a co szkodzi”. Jeśli potrzebujesz konkretnego harmonogramu 12 tygodni i listy badań w kolejności, przejdź do wpisu z planem i diagnostyką.
Jesteś w części: (ten wpis)
Szybkie działania: jeśli objawy są ostre (wodnista biegunka / krew / wymioty / apatia) → weterynarz. Jeśli przewlekłe i falujące → najpierw stabilizacja + notatki + badania (B12/USG) wg lekarza.